Skip to main content
Top

Anesthesia for an infant with congenital mediastinal mass: a case report

Published in:

Abstract

Background

Giant anterior mediastinal masses in infants are one of the most challenging cases faced in pediatric anesthesia practice. They can pose unique challenges for resection such as cardiovascular collapse on induction of anesthesia and injury to surrounding structures that maybe compressed or displaced. Principles that must be followed and kept in mind during removal of giant mediastinal mass include appropriate diagnostic imaging to define mass extent, airway control during induction, a multidisciplinary team approach including cardiothoracic for sternotomy, cannulation to institute cardiopulmonary bypass, otolaryngology for rigid bronchoscopy, preservation of neurovascular structure, and complete resection whenever possible. Our patient had a mass that weighed twice his whole body weight.

Case presentation

Here we present a 3-month-old Middle Eastern infant weighing 3.2 kg with a large congenital teratoma who presented to the emergency room with cyanosis and respiratory distress. During his hospital course, he underwent three procedures, two of them under light-to-moderate sedation: a diagnostic computer tomography scan followed by mass content drainage by interventional radiology (Figs. 1, 2). On the third day, he had a thoracotomy with complete tumor resection under general anesthesia with the help of an epidural for pain control (Fig. 3). The resected tumor weighed 2.5 kg, which was equal to twice the patient’s total body weight (Fig. 4). After the surgery, he was extubated in the operating room and discharged home 3 days later.
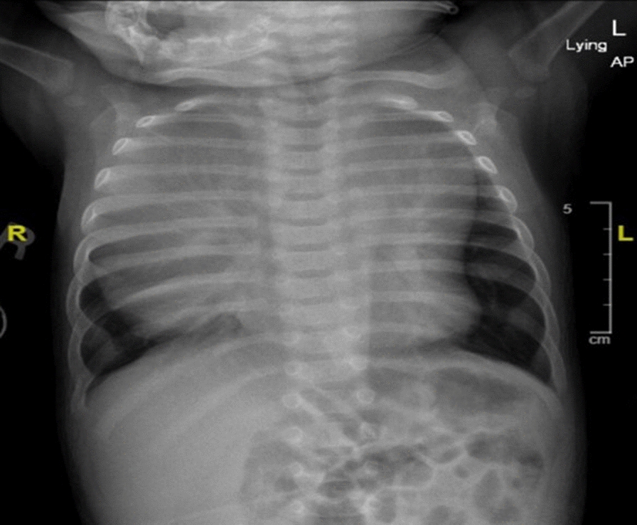
Fig. 1
Anterior–posterior chest x-ray showing the anterior mediastinal mass (AMM)
Full size image
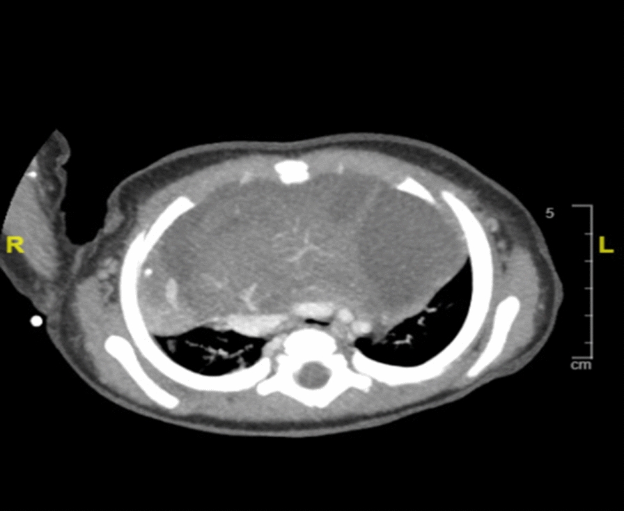
Fig. 2
Cross-section computed tomography (CT) showing large anterior mediastinal mass (AMM)
Full size image
Fig. 3
Gross anatomy of the tumor before resection
Full size image
Fig. 4
Gross anatomy of the removed tumor
Full size image

Conclusion

Anterior mediastinal mass patients can be challenging for the anesthesiologist. They need meticulous thorough perioperative assessment to determine the extent of compression on major intramediastinal structures and to predict the complications. Planning by multidisciplinary team and discussion with the family is important. These types of cases should be preferably operated on by an experienced team in a well-equipped operation room in tertiary care institutes.
Title
Anesthesia for an infant with congenital mediastinal mass: a case report
Authors
Samar Adam
Abdullah Baseet
Ali Alshaiby
Faris Alghamdi
Mohamed Alaseeri
Yahya Alsahabi
Ahmed Faqih
Hatim Azzam
Maha Alzayr
Faisal Alqasmi
Publication date
30-08-2024
This content is only visible if you are logged in and have the appropriate permissions.

Keynote webinar | Spotlight on adolescent vaping

Growing numbers of young people are using e-cigarettes, despite warnings of respiratory effects and addiction. How can doctors tackle the epidemic, and what health effects should you prepare to manage in your clinics?

Prof. Ann McNeill
Dr. Debbie Robson
Benji Horwell
Developed by: Springer Medicine
Watch now
Video
Image Credits
Postoperative photo of excised mediastinal mass in a 3-month-old/© 2024, Samar Adam et al, J Med Case Reports, Person in orange t-shirt using an e-cigarette/© licsiren / Getty Images / iStock (symbolic image with model)