Skip to main content

Glucocorticoid-induced diabetes: what you need to know

Glucocorticoid-induced diabetes represents an important yet often overlooked complication of GC therapy. Review the current knowledge on the mechanisms, prevalence, and risk factors in patients with autoimmune rheumatic diseases.

Read more

Editor's Choice

An undercharacterized feature of VEXAS syndrome

A man with VEXAS syndrome developed nailfold capillary abnormalities. These can also occur in ANCA-associated vasculitides, suggesting the possibility of an analogous microvasculopathy or systemic vasculitic process in VEXAS syndrome.

Novel criteria define disease activity in adult-onset Still disease

A novel set of clinical criteria for adult-onset Still disease has been developed to classify patients as having active disease, low disease activity, or clinically inactive disease.

Telitacicept for SLE and pregnancy: some reassurance

A woman with systemic lupus erythematosus and lupus nephritis became pregnant while taking a telitacicept-containing regimen. Telitacicept was promptly discontinued and she eventually delivered a healthy infant.

Tirzepatide boosts ixekizumab benefits in patients with PsA and obesity

Combining ixekizumab with tirzepatide offers additive clinical benefits over ixekizumab alone in the treatment of psoriatic arthritis in patients with overweight or obesity.

Our tailored content service will keep you up to date…

Receive newsletters curated for the busy specialist by our expert editorial team

Keynote webinar | Spotlight on dry eye disease

  • Live
  • Webinar | 28-05-2026 | 13:00 (CEST)

DED is highly prevalent yet challenging to diagnose and treat. Join leading experts to explore the latest developments and gain practical guidance on effective management in busy clinical settings. Brought to you by Springer Medicine and Eye.

Watch it live: 28 May 2026, 13:00–14:00 (CEST)

Prof. Harminder Dua
Prof. Sajjad Ahmad
Prof. Anat Galor
Join the webinar
Webinar

Case Studies

Glucocorticoid-induced diabetes: what you need to know

Glucocorticoid-induced diabetes represents an important yet often overlooked complication of GC therapy. Review the current knowledge on the mechanisms, prevalence, and risk factors in patients with autoimmune rheumatic diseases.

An undercharacterized feature of VEXAS syndrome

A man with VEXAS syndrome developed nailfold capillary abnormalities. These can also occur in ANCA-associated vasculitides, suggesting the possibility of an analogous microvasculopathy or systemic vasculitic process in VEXAS syndrome.

Telitacicept for SLE and pregnancy: some reassurance

A woman with systemic lupus erythematosus and lupus nephritis became pregnant while taking a telitacicept-containing regimen. Telitacicept was promptly discontinued and she eventually delivered a healthy infant.

SLE: translating guidelines into practice (Link opens in a new window)

1.0 European CME credits (ECMEC®s)

Equip yourself to confidently implement the latest evidence-based strategies for your patients with systemic lupus erythematosus with this program. Expert-led videos on topics including the updated EULAR 2023 guidelines available now.

Independent Medical Education Grant:
  • AstraZeneca
Learn more Link opens in a new window

Current Reviews

Hughes-Stovin syndrome (HSS) preliminary diagnostic criteria: a report by the HSS International Study Group (HSSISG)

Hughes-Stovin syndrome (HSS) was named after the British physicians Drs. John Patterson Hughes and Peter George Ingle Stovin, who first described the condition in 1959 [ 1 ]. They described the clinical disease course of two young male patients …

Metabolic challenges in rheumatoid arthritis: a translational overview from pathogenesis to patient care

Rheumatoid arthritis (RA) is an inflammatory disease characterized by a higher burden of cardiovascular and metabolic diseases than in the general population. Altered lipid and glucose metabolic pathways are widely observed, primarily due to …

Phytochemicals in arthritis management: insight into pharmacodynamic potency with pharmacokinetic profile

Arthritis, especially osteoarthritis (OA) and rheumatoid arthritis (RA), is a chronic, multifactorial disorder characterized by ongoing inflammation, oxidative stress, immune dysregulation, cartilage degradation and abnormal bone remodeling. These …

Diagnostic performance of lumbar computed tomography Hounsfield unit thresholds for osteoporosis and osteopenia: a systematic review and meta-analysis

Vertebral Hounsfield units (HU) measured on routine computed tomography (CT) have emerged as an accessible surrogate for bone mineral density (BMD), yet reported diagnostic thresholds vary widely. This meta-analysis aimed to define and test …

Episode 24: Looking back at 2025

Advancing patient care

In this special edition of Medicine Matters, we're joined by Dr Gregory Lim, Claire Greenhill, and Sarah Onuora, Chief Editors of Nature Reviews Cardiology, Endocrinology, and Rheumatology, for a look back at the advances in their specialties in 2025.

Find out what caught their attention and why, and what they're looking forward to in 2026.

Gregory Lim
Claire Greenhill
Sarah Onuora
Listen now
Podcast

CME & eLearning

SLE: translating guidelines into practice (Link opens in a new window)

1.0 European CME credits (ECMEC®s)

Equip yourself to confidently implement the latest evidence-based strategies for your patients with systemic lupus erythematosus with this program. Expert-led videos on topics including the updated EULAR 2023 guidelines available now.

Independent Medical Education Grant:
  • AstraZeneca

Further Reading

Anti-arthritic efficacy of geraniol and methotrexate via miRNA-driven NLRP3 inflammasome suppression in rat adjuvant-induced arthritis

Geraniol (GO), a plant-derived monoterpene found in many essential oils known as Geranium maculatum L., has been widely used in traditional medicine for its wide range of pharmacological activities, including anti-inflammatory, antioxidant …

Serum macrophage migration inhibitory factor as a predictor of radiographic progression in ankylosing spondylitis: a retrospective cohort study

Ankylosing spondylitis (AS) is a chronic inflammatory disease predominantly affecting the axial skeleton, characterized by inflammation of the sacroiliac joints and spine, leading to pain, stiffness, and progressive structural damage [ 1 , 2 ]. As …

Comparative Effectiveness of Upadacitinib vs. Other JAK Inhibitors in Patients With Rheumatoid Arthritis in a Global Real-World Setting

Rheumatoid arthritis (RA) is a chronic autoimmune disease that leads to inflammation, swelling, and damage in joint tissues. The global prevalence of RA is estimated to be 0.46%, with the progressive nature of the condition potentially resulting …

Cost-Effectiveness of Biosimilar Denosumab Versus Bisphosphonates in Postmenopausal Osteoporosis

  • Open Access
  • Denosumab
  • Original Research Article

Postmenopausal osteoporosis (PMO) is a chronic condition characterized by low bone mass and weak bone tissue, which significantly increases fracture risk among women over the age of 50 years [ 1 ]. More than 2 million osteoporosis-related fractures …

Related topics

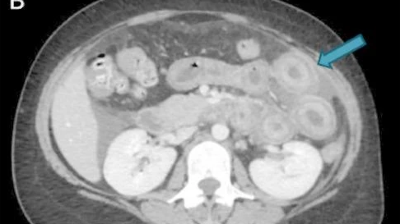
Pancreatic cancer or isolated pancreatic sarcoidosis?

Acute pancreatitis was diagnosed in a woman who presented with abdominal pain. Imaging raised suspicion for obstructive pancreatitis secondary to pancreatic cancer, but later investigations revealed a more unusual cause.

Read more
Image Credits
Syringes, vials, tablets, and capsules on a table/© Sviatlana Barchan / Getty Images / iStock, Nailfold videocapillaroscopy of patient with VEXAS syndrome/© 2026, Roko P. A. Nikolic et al, under exclusive licence to International League of Associations for Rheumatology (ILAR), Clin Rheumatol, Doctor checking box on medical checklist on virtual screen/© chinnarach / Stock.adobe.com, Woman holding positive pregnancy test/© Nutlegal / stock.adobe.com (symbolic image with model), Woman receiving injection/© Antonio_Diaz / Getty Images / iStock (symbolic image with models), Conceptual illustration of dry eye disease/© Science Photo Library / Getty Images, Papercraft image of an arrow hitting a target/© MirageC / Moment / Getty, Risk meter concept/© Cagkan / Stock.adobe.com, Close-up of doctor giving subcutaneous injection in patient's stomach/© Victoria Kotlyarchuk / Getty Images / iStock, Nurse with IV drip and patient in hospital room/© Halfpoint / Stock.adobe.com (symbolic image with models), Butterfly logo superimposed over silhouettes of people/© Springer Health+ IME, Medicine Matters Podcast promo image/© Springer Medizin GmbH, Gloved hand holding two syringes/© StudioLaMagica / stock.adobe.com (symbolic image with model), Infrared visualization of shoulder pain or injury/© mikkelwilliam / Getty Images / iStock, Electromyography exam in hospital/© VILevi / Fotolia (symbolic image with models), Girl covering one eye with her hand/© patpitchaya / Getty Images / iStock (symbolic image with model), Conceptual image of a consensus/© ajijchan / Getty Images / iStock, Medicine Matters podcast logo/© Springer Medizin Verlag GmbH, Woman with shoulder pain/© C Davids / peopleimages.com / Stock.adobe.com (symbolic image with model), Woman with pain in her hand/© Satjawat / Stock.adobe.com (symbolic image with model), Incretin mimetic injectors/© aprott / Getty Images / iStock, Scan of toddler’s spine to position the needle for a lumbar sympathetic block to treat complex regional pain syndrome/© 2024, Amany E. Ayad et al, Pain Ther, Woman using a smartphone/© Jajah-sireenut / Getty Images / iStock (symbolic image with model), Man having a coughing episode/© kostyha / stock.adobe.com (symbolic image with model), Close-up of man with both hands on knee/© Jacob Wackerhausen / Getty Images / iStock, Close-up of person massaging their hand/© Jacob Wackerhausen / Getty Images / iStock, Vitamin D capsules/© NiseriN / Getty Images / iStock, Weighing scales and measuring tape/© Atlas / stock.adobe.com, Woman doing stretches in bedroom/© Galina Zhigalova / Getty Images / iStock (symbolic image with model), X-rays of patient with heterotopic ossification after wrist replacement/© 2025, Sonja Verena Schmidt et al, J Med Case Reports, Combined PET and CT imaging of the pancreas in a patient with pancreatic sarcoidosis/© 2026, Nao Ishidoya et al, Clin J Gastroenterol, under exclusive licence to Japanese Society of Gastroenterology, Close-up of gloved hand filling syringe from a vial/© New Africa / stock.adobe.com, Leg ulcers in patient with ulcerative cutaneous sarcoidosis/© 2025, Nabil Belfeki et al, under exclusive licence to Springer-Verlag GmbH Germany, part of Springer Nature, Rheumatol Int, Skin rash in patient with ALS, CLL, and SLR/© 2025, Joumana Freiha et al, BMC Neurol, 3D render of circulatory system/© magicmine / Stock.adobe.com, Placing a catheter for administering IV drugs/© flywish / stock.adobe.com