Skip to main content

Psychiatry

Intersection between eating disorders and obesity in youth

The risk for disordered eating and related worsened mental and physical health outcomes is greater in adolescents with obesity than in those without. Assessment for eating disorder symptoms and presentation is vital.

Read more

Editor's Choice

Sleep disruption: a modifiable AD risk factor

Disrupted sleep is an easily detectable and modifiable risk factor for Alzheimer disease. Learn how sleep metrics could become powerful tools for detection, prevention, and intervention, even before cognitive symptoms appear.

Do SGLT2 inhibitors offer neuroprotection?

Emerging evidence suggests SGLT2 inhibitors may help to prevent or slow neurodegeneration. Review their mechanisms of action and therapeutic potential.

Tailoring treatment for PPA subtypes

Understanding the neuroanatomy of language and the corresponding subtypes of primary progressive aphasia can help you select biomarker tests, interpret imaging, and tailor treatment for patients.

Can steroid abuse and malnutrition cause corneal melting?

10 years after bariatric surgery and extensive weight loss, a 27-year-old took prednisolone to regain weight. But 3 months later, she presented with corneal melting and perforation.

Our tailored content service will keep you up to date…

Receive newsletters curated for the busy specialist by our expert editorial team

Keynote webinar | Spotlight on functional neurological disorder

FND perplexes and frustrates patients and physicians alike. Limited knowledge and insufficient awareness delays diagnosis and treatment, and many patients feel misunderstood and stigmatized. How can you recognize FND and what are the treatment options?

Prof. Mark Edwards
Developed by: Springer Medicine
Watch now
Video

Case Studies

Can steroid abuse and malnutrition cause corneal melting?

10 years after bariatric surgery and extensive weight loss, a 27-year-old took prednisolone to regain weight. But 3 months later, she presented with corneal melting and perforation.

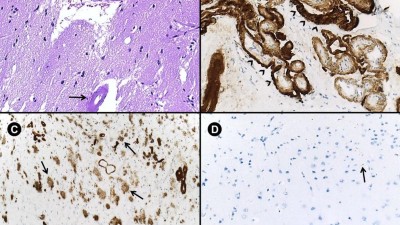
Tracing the origins of iatrogenic cerebral amyloid angiopathy

Two cases of iCAA decades after neurosurgery offer new insights into its elusive pathophysiology. What can you learn from the clinical, imaging, and neuropathological findings?

Endoscopic removal of an impacted sponge

Five-pronged grasping forceps were required to remove a sponge impacted in the esophagus of an 81-year-old woman with dementia. An esophageal ulcer found during follow-up endoscopy was treated with a PPI.

Episode 21: Moving towards migraine freedom?

Newcomer PACAP could make the difference in migraine control

Anti-CGRP therapy has dramatically improved migraine treatment for many patients since its introduction in 2018. However, 30–40% of patients do not respond adequately to these drugs.

Prof. Messoud Ashina talks to us about PACAP and why targeting this pathway could offer a new future option for such patients.

Prof. Messoud Ashina
Listen now
Podcast

Current Reviews

Parents’ stress and distress in the face of their children’s self-injurious thoughts and behaviors: a scoping review

Children’s and youths’ self-injurious thoughts and behaviors (SITBs) significantly impact their parents, often causing elevated stress and distress. In addition to managing the emotional toll, parents need to actively participate in their child’s …

Classic psychedelics may treat depressive disorders, but more evidence and legislative changes are required

To meet the growing need for new therapies for major depressive disorder (MDD) and treatment-resistant depression (TRD), there has been renewed interest in the potential antidepressant activity of classic psychedelics, such as psilocybin and …

Repetitive transcranial magnetic stimulation for cognitive and emotional symptoms in neurodegenerative diseases: a systematic review and dose-response meta-analysis

Neurodegenerative diseases (NDs) damage neurons in the nervous system over time. This happens because of a mix of things, such as abnormal protein aggregation, neuroinflammation, abnormal neuronal death, and genetics [ 1 , 2 ]. These processes …

Xanomeline/trospium chloride in schizophrenia: a profile of its use

Xanomeline/trospium chloride (COBENFY™) is a promising new treatment option for schizophrenia in the USA. The orally administered, first-in-class drug is composed of xanomeline, an M1 and M4 receptor selective muscarinic agonist, and trospium …

How can you integrate PET into your practice? (Link opens in a new window)

1.5 AMA PRA Category 1 Credit(s)™

PET imaging is playing an increasingly critical role in managing AD. Our expert-led program will empower you with practical strategies and real-world case studies to effectively integrate it into clinical practice.

This content is intended for healthcare professionals outside of the UK.

Supported by:
  • Lilly
Developed by: Springer Health+ IME
Learn more

CME & eLearning

Alzheimer disease in the biomarker era (Link opens in a new window)

0.5 AMA PRA Category 1 Credit(s)

How can your team use biomarkers to improve diagnosis and management of AD? Explore the use of biomarker testing to interpret results and guide treatment strategies with these expert videos and unique educational escape room.

This content is intended for healthcare professionals outside of the UK.

Supported by:
  • Lilly
Developed by: Springer Health+ IME

Navigating neuroimaging in AD care (Link opens in a new window)

1.5 AMA PRA Category 1 Credit(s)™

PET imaging is playing an increasingly critical role in early diagnosis of Alzheimer disease, disease staging, and guiding treatment decisions. But how can you effectively integrate it into clinical practice? Our expert-led program will empower you with practical strategies and real-world case studies.

This content is intended for healthcare professionals outside of the UK.

Supported by:
  • Lilly
Developed by: Springer Health+ IME

Preparing for the new era of neuroimaging for AD (Link opens in a new window)

0.5 AMA PRA Category 1 Credit(s)

This webinar and infographic offer expert insights into new data on novel PET biomarkers and tracers, with practical learning to detect early signs of Alzheimer disease, advance diagnostic accuracy, and identify those who would benefit from disease-modifying therapies.

Supported by:
  • Lilly
Developed by: Springer Health+ IME

Further Reading

Trends in Concurrent Psychiatric Comorbidities in Alcohol-Associated Liver Disease: A Nationwide Study from 2015–2023

Alcohol-associated liver disease (ALD) is one of the most common forms of chronic liver disease (CLD) and a leading indication for liver transplantation. Globally, ALD accounted for the loss of approximately 11 million life-years in 2019 [ 1 , 2 ].

Coping, Civilian Transition, and Gambling Harm Severity in UK Armed Forces Veterans

Veterans are prone to experiencing both mental health challenges and harm from gambling, yet little is known about the psychosocial factors that may increase risk. This study examined predictors of gambling harm severity in a sample of UK Armed …

Real-world use of direct oral anticoagulants in atrial fibrillation patients with moderate/severe chronic kidney disease: a propensity score matched analysis from the START registry

Chronic kidney disease (CKD) is a chronic progressive condition with a high prevalence and incidence worldwide [ 1 ]. A recent comprehensive systematic review and meta-analysis of 100 studies including 6,908,440 patients reported a global CKD …

Cost Savings from Integrating Behavioral Health in Primary Care: A Pragmatic Randomized Control Trial with Karen Refugees

Many refugees experience exposure to chronic and traumatic stressors that can lead to complex mental health and other health care needs. The integration of behavioral health into primary care is a promising approach for addressing complex health …

Image Credits
Boy looking unhappy/© airdone / iStock / Getty Images Plus (symbolic image with model), Older man trying to sleep/© amenic181 / Getty Images / iStock (symbolic image with model), Brain inside a medicine capsule/© Jorg Greuel / Getty Images, Speech therapy/© wanderluster / Getty Images (symbolic image with models), Ocular examination of patient with corneal melting/© 2025, Rawan Hosny et al, BMC Ophthalmol, Human brain illustration/© (M) CHRISTOPH BURGSTEDT / SCIENCE PHOTO LIBRARY / Getty Images, Head with puzzle pieces/© Berit Kessler / Generated with AI / stock.adobe.com, Woman at a medical consultation/© Antonio_Diaz / iStock / Getty Images Plus (symbolic image with models), Older Black man exercising at the seaside/© JLco - Julia Amaral / Getty Images / iStock (symbolic image with model), Neuropathological findings in iatrogenic cerebral amyloid angiopathy/© 2025, Ana Sofia Costa et al, Neurol Res Pract, A fragment of sponge extracted from the esophagus and an endoscopic view of ulcer formation within the hernial sac/© (M) 2025, Keisuke Ojiro et al, Clin J Gastroenterol, under exclusive licence to the Japanese Society of Gastroenterology, Medicine Matters Podcast promo image/© Springer Medizin GmbH, Navigating neuroimaging in Alzheimer’s care: Practical applications and strategies for integration/© Springer Healthcare IME, Alzheimer’s disease in the biomarker era: preparing the multidisciplinary care team/© Springer Healthcare IME, EAMN Logo/© Springer Healthcare IME