Skip to main content

Imaging advances in acute ischemic stroke

How can you best use established and emerging imaging techniques to identify large vessel occlusions, delineate salvageable tissue, and guide reperfusion therapies?

Read more

Editor's Choice

Early-onset Parkinson disease: tailoring your approach

Identify the motor and non-motor features distinct from late-onset PD, determine when to escalate therapy, and navigate dyskinesias, motor fluctuations, and midlife considerations such as pregnancy and career impact.

A wolf in synuclein clothing: CJD disguised as MSA

Rapidly progressing neurological disease should immediately signal a possible prion disorder. Learn key diagnostic clues to distinguish Creutzfeldt-Jakob disease from mimics like multiple system atrophy.

Gene transfer therapy shows potential for SMA

Intrathecal onasemnogene abeparvovec improves motor function, with an acceptable safety profile, in treatment-naïve and experienced patients with spinal muscular atrophy.

Acute care of spontaneous ICH

Use this standard operating procedure to guide emergency and early inpatient treatment of spontaneous intracerebral hemorrhage, based on current guidelines and clinical experience.

Our tailored content service will keep you up to date…

Receive newsletters curated for the busy specialist by our expert editorial team

Keynote webinar | Spotlight on functional neurological disorder

FND perplexes and frustrates patients and physicians alike. Limited knowledge and insufficient awareness delays diagnosis and treatment, and many patients feel misunderstood and stigmatized. How can you recognize FND and what are the treatment options?

Prof. Mark Edwards
Watch now
Video

Case Studies

A wolf in synuclein clothing: CJD disguised as MSA

Rapidly progressing neurological disease should immediately signal a possible prion disorder. Learn key diagnostic clues to distinguish Creutzfeldt-Jakob disease from mimics like multiple system atrophy.

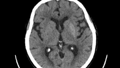
Third ventricle hydatid cyst in a 4-year-old

A 4-year-old presented with right-eye strabismus, headache, and vomiting. Imaging revealed third-ventricle hydatid cyst causing hydrocephalus. Neuroendoscopic excision and histology confirmed hydatid disease, successfully treated with albendazole.

Fatal leukoencephalitis after VZV reactivation

An immunocompetent adult developed rapidly progressive hemorrhagic leukoencephalitis following varicella zoster virus reactivation. Recognize the warning signs for immediate intervention in these rare but devastating cases.

Episode 21: Moving towards migraine freedom?

Newcomer PACAP could make the difference in migraine control

Anti-CGRP therapy has dramatically improved migraine treatment for many patients since its introduction in 2018. However, 30–40% of patients do not respond adequately to these drugs.

Prof. Messoud Ashina talks to us about PACAP and why targeting this pathway could offer a new future option for such patients.

Prof. Messoud Ashina
Listen now
Podcast

Current Reviews

Is motor asymmetry a predictor of non-motor outcomes in Parkinson’s disease?

The objective of this opinion paper is to highlight, based on recent studies, the importance of considering motor symptom (a)symmetry in the progression and management of non-motor symptoms in Parkinson’s disease.

Association between mouth breathing and pediatric obstructive sleep apnea: a systematic review

Sleep plays a major role in the neurocognitive and behavioural development of a child. Variation in this physiological process can occur due to various sleep disorders such as insomnia, sleep breathing disorders, central hypersomnia, circadian …

Long-term efficacy of endoscopic endonasal transsphenoidal marsupialization using a nasoseptal mucosal flap for petrous apex cholesterol granuloma: systematic review and two case reports

Cholesterol granuloma is one of the most frequent benign lesions of the temporal bone and typically arises from a well-pneumatized petrous apex [ 1 ]. Cholesterol granuloma usually affects young or middle-aged patients without gender specificity …

Clinical and prognostic impact of left atrial strain in non-ischemic cardiomyopathies

Over the last decade, left atrial (LA) strain has gained attention as a clinical diagnostic and prognostic non-invasive imaging parameter. LA strain measures the myocardial deformation of the LA in three phases; the reservoir (LA filling during …

How can you integrate PET into your practice? (Link opens in a new window)

1.5 AMA PRA Category 1 Credit(s)™

PET imaging is playing an increasingly critical role in managing AD. Our expert-led program will empower you with practical strategies and real-world case studies to effectively integrate it into clinical practice.

This content is intended for healthcare professionals outside of the UK.

Supported by:
  • Lilly
Developed by: Springer Health+ IME
Learn more

CME & eLearning

Alzheimer disease in the biomarker era (Link opens in a new window)

0.5 AMA PRA Category 1 Credit(s)

How can your team use biomarkers to improve diagnosis and management of AD? Explore the use of biomarker testing to interpret results and guide treatment strategies with these expert videos and unique educational escape room.

This content is intended for healthcare professionals outside of the UK.

Supported by:
  • Lilly
Developed by: Springer Health+ IME

Navigating neuroimaging in AD care (Link opens in a new window)

1.5 AMA PRA Category 1 Credit(s)™

PET imaging is playing an increasingly critical role in early diagnosis of Alzheimer disease, disease staging, and guiding treatment decisions. But how can you effectively integrate it into clinical practice? Our expert-led program will empower you with practical strategies and real-world case studies.

This content is intended for healthcare professionals outside of the UK.

Supported by:
  • Lilly
Developed by: Springer Health+ IME

Awareness, advances, action in myasthenia gravis (Link opens in a new window)

1.75 AMA PRA Category 1 Credit(s)

The unpredictable nature of generalized myasthenia gravis can feel overwhelming for many patients. Explore strategies for effective communication and shared decision-making,  latest advances in treatment options, and how to develop patient-centric treatment plans using our multiformat educational programme.

Supported by:
  • Merck KGaA, Darmstadt, Germany and UCB Inc.
Developed by: Springer Health+ IME

Further Reading

Simultaneous multiple post-labelling delay ASL MRI and [18F]FDG PET in a mixed memory clinic population and healthy controls

In patients suspected of neurodegenerative dementia disorder, [ 18 F]fluoro-deoxy-glucose (FDG) positron emission tomography (PET) is widely used to assess neuronal function and integrity, and is a valuable adjunct to structural imaging by computed …

The Role of Income and Health Insurance on Migraine Care: Results of the OVERCOME (US) Study

  • Open Access
  • Migraine
  • Original Research

Headache disorders are among the most prevalent conditions globally [ 1 ]. Migraine, a leading cause of disability worldwide [ 2 , 3 ], is a debilitating and complex neurologic disease that is underdiagnosed and undertreated for various reasons.

Is motor asymmetry a predictor of non-motor outcomes in Parkinson’s disease?

The objective of this opinion paper is to highlight, based on recent studies, the importance of considering motor symptom (a)symmetry in the progression and management of non-motor symptoms in Parkinson’s disease.

Molecular characterization of Neisseria meningitidis isolates from healthy individuals in Meigu County, Sichuan Province, 2021–2024

To explore the molecular characteristics of Neisseria meningitidis carried by healthy individuals in Meigu County, Liangshan Yi Autonomous Prefecture, Sichuan Province, and to provide scientific evidence for preventing and controlling epidemic …

Related topics

Imaging advances in acute ischemic stroke

How can you best use established and emerging imaging techniques to identify large vessel occlusions, delineate salvageable tissue, and guide reperfusion therapies?

Read more

Minimally invasive LITT for epilepsy

Growing evidence shows MRI-guided laser interstitial thermal therapy offers comparable seizure control to open surgical resection with fewer cognitive risks and shorter recovery for drug-resistant epilepsy.

Read more

Headache after stroke: what you need to know

Post-stroke headache is common yet underrecognized. Gain evidence-based insights on incidence and mechanisms, and practical guidance on acute and preventive therapies.

Read more

A wolf in synuclein clothing: CJD disguised as MSA

Rapidly progressing neurological disease should immediately signal a possible prion disorder. Learn key diagnostic clues to distinguish Creutzfeldt-Jakob disease from mimics like multiple system atrophy.

Read more

Acute care of spontaneous ICH

Use this standard operating procedure to guide emergency and early inpatient treatment of spontaneous intracerebral hemorrhage, based on current guidelines and clinical experience.

Read more
Image Credits
Radiologist looking at MRI scan of the head/© simonkr / Getty Images / iStock (symbolic image with models), Female doctor talking to male patient/© FatCamera / Getty Images / iStock (symbolic image with models), Wolf portrait/© Ranjie Cabelin / 500px / Getty Images, DNA helix with red spot/© Елена Бутусова / Stock.adobe.com, Flow diagram/© narvo vexar / Getty Images / iStock, Human brain illustration/© (M) CHRISTOPH BURGSTEDT / SCIENCE PHOTO LIBRARY / Getty Images, Emergency ambulance transfer/© Ronny / stock.adobe.com, Lab technician checking blood sample/© FatCamera / Getty Images / iStock (symbolic image with model), Older woman wearing a continuous glucose monitoring device/© Halfpoint / stock.adobe.com (symbolic image with model), MRI of a third ventricle hydatid cyst in a 4-year-old female/© 2025, Ahed Assaf et al, J Med Case Reports, Illustration of varicella zoster virus/© quantic69 / Getty Images / iStock, Medicine Matters Podcast promo image/© Springer Medizin GmbH, Navigating neuroimaging in Alzheimer’s care: Practical applications and strategies for integration/© Springer Health+ IME, Alzheimer’s disease in the biomarker era: preparing the multidisciplinary care team/© Springer Healthcare IME, Awareness, Advances, and Action: Optimizing Outcomes for Patients With Generalized Myasthenia Gravis/© Springer Healthcare IME, Woman holding head/© Tero Vesalainen / Getty Images / iStock (symbolic image with model), Neurological stenting concept/© freshidea / stock.adobe.com, MRI-guided laser interstitial thermal therapy/© ATRPhoto / Stock.adobe.com, Senior adults walking/© Alistair Berg / Getty Images (symbolic image with models), Amyloid-beta peptide accumulating into amyloid fibrils/© selvanegra / iStock / Getty Images Plus, Older man trying to sleep/© amenic181 / Getty Images / iStock (symbolic image with model), Brain inside a medicine capsule/© Jorg Greuel / Getty Images, Man undergoing an EEG/© fotografixx / Getty Images / iStock (symbolic image with model), Doctors discussing brain scans and treatment decisions/© dragana991 / Getty Images (symbolic image with models), Head with heart and cardiogram/© sewcream / stock.adobe.com, Neurologist examining MRI brain scan/© Gorodenkoff / stock.adobe.com (symbolic image with model), Epilepsy concept image/© SewcreamStudio / Stock.adobe.com, Neuromodulation concept/© ArtemisDiana / Getty Images, Cluster headache concept/© Prostock-studio / Stock.adobe.com (symbolic image with model), Woman speaking to doctor/© Seventyfour / stock.adobe.com (symbolic image with models), Boy with headache lying on a bed/© Pollyana Ventura / Getty Images / iStock (symbolic image with model), Teratoma of the fallopian tube in a patient with autoimmune encephalitis/© 2025, María Rivera Sánchez et al, BMC Neurol, Lumbar puncture to extract CSF/© Felipe Caparrós / stock.adobe.com, Aspergillus fungus in a Petri dish/© sinhyu / Stock.adobe.com, Deer tick Ixodes Ricinus/© KPixMining / stock.adobe.com, 3D illustration of a brain tumor/© (M) SciePro / stock.adobe.com, Pills on background of brain MRI scan/© Ildar Imashev / Getty Images / iStock, DNA editing illustration/© (M) vchalup / stock.adobe.com, Hemifacial spasm/© 2023, David Aktan et al under exclusive licence to Belgian Neurological Society, Acta Neurol Belg, A middle-aged man grimacing/© Aflo Images / Getty Images (symbolic image with model), Close-up of doctor examining a foot with a bandage/© megaflopp / Getty Images / iStock, Older man having trouble sleeping/© Enes Evren / Getty Images / iStock (symbolic image with model), Peripheral nerve histology: bundles of myelinated axon fibers/© 2rogan / Generated with AI / Stock.adobe.com