Skip to main content
Top

Adenovirus infection

Published in:

Excerpt

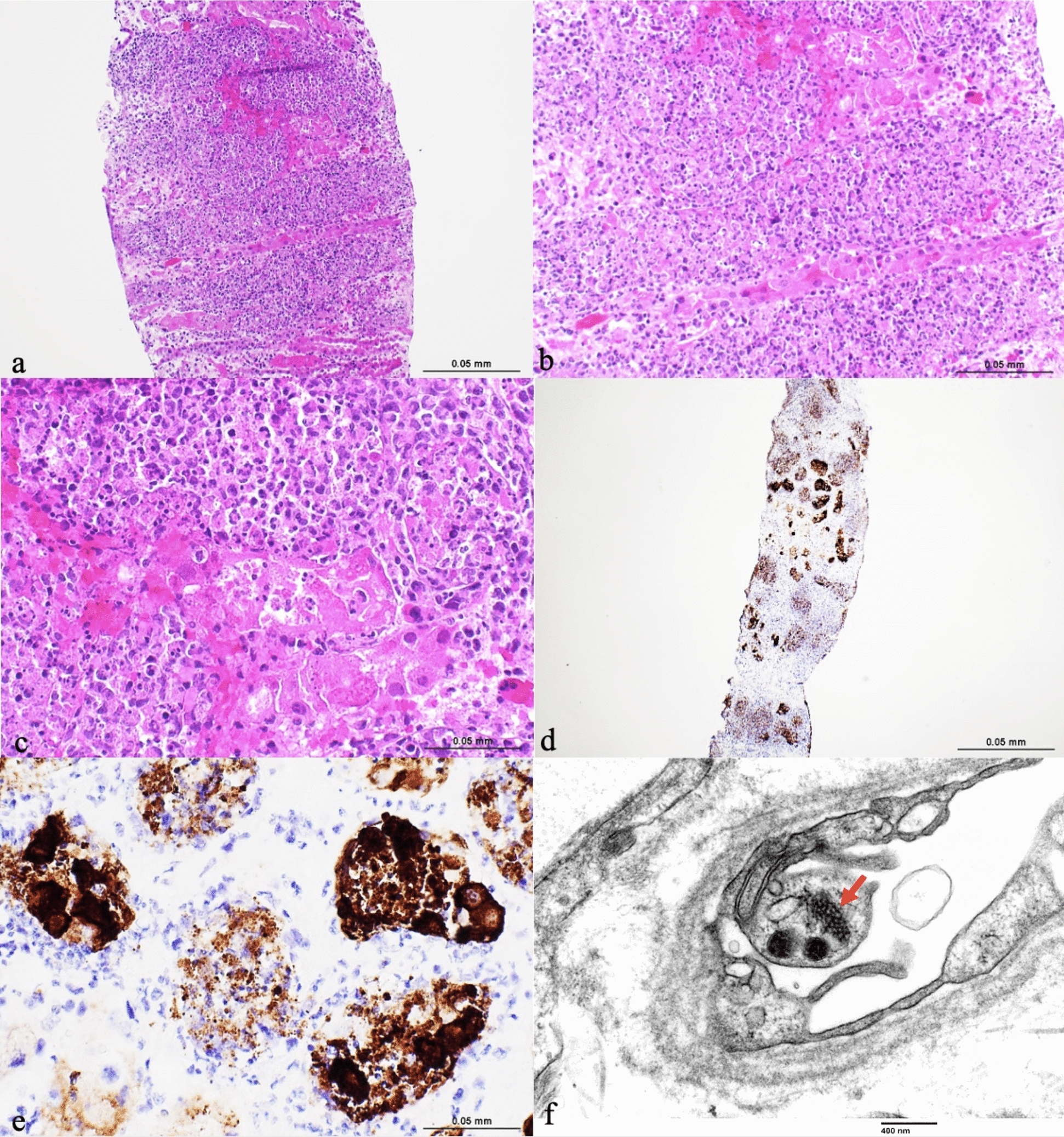
Human adenovirus is a double-stranded, non-enveloped DNA virus that can cause infection in kidney transplant recipients, with a spectrum of symptoms ranging from asymptomatic viremia to disseminated disease. Adenovirus nephritis typically presents with fever and hemorrhagic cystitis. It can cause an inflammatory response but rarely results in allograft failure [1]. Standard treatment options consist of immunosuppression reduction with consideration given to the use of cidofovir. Adenovirus-specific T-cell infusions have shown promise in therapeutic and prophylactic therapy in stem cell transplants but lack data in solid organs at this time [2]. The picture shows the kidney biopsy of a 32-year-old male with end-stage kidney disease secondary to diabetes mellitus type I, who received a simultaneous pancreas—kidney transplant. Induction therapy consisted of anti-thymocyte globulin and methylprednisolone. Maintenance therapy included tacrolimus, mycophenolate, and prednisone. At 3 weeks post-transplant, he reported generalized fatigue and diarrhea. Laboratory studies revealed leukocytosis, lymphopenia, and creatinine of 2.1 mg/dL (baseline 1.6–1.9 mg/dL). Urinalysis showed hematuria and pyuria. Respiratory viral panel, urine, and serum PCR for adenovirus were positive and the remaining infectious work-up including BK and CMV were negative. He received intravenous immunoglobulins (IVIG) and mycophenolate was held. He improved clinically and was discharged home but was readmitted with fevers and dysuria. Computed tomography abdomen/pelvis did not identify a source of infection. A kidney allograft biopsy showed interstitial edema, severe inflammation with neutrophils, micro abscesses, focal tubular necrosis, and interstitial hemorrhages (Fig. 1). Immunostaining for adenovirus antigen in the tubular epithelial cells confirmed the infection. He had a rapid rise in serum adenovirus PCR from < 200 to 338,844 copies/mL despite decreasing immunosuppression and IVIG treatment. He was ultimately treated with cidofovir. Serum PCR levels declined steadily, with improvement of creatinine to baseline. He was subsequently admitted with elevated pancreatic enzymes with a concern for rejection versus adenovirus pancreatitis versus cidofovir-induced pancreatitis. Imaging was normal. Biopsy was deferred and he improved with conservative management.
Fig. 1
Severe diffuse neutrophil-rich interstitial inflammation, tubular injury, and focal cortical hemorrhagic necrosis a Hematoxylin–eosin ×100; b Hematoxylin–eosin ×200; c Hematoxylin–eosin ×400; d Immunostaining for adenovirus ×40 shows abundant tubulointerstitial positivity; e immunostaining for adenovirus ×400; f tubuloreticular inclusions in peritubular capillary endothelial cell (transmission electron microscopy, ×46,700)
Full size image
Title
Adenovirus infection
Authors
Kanza Haq
Chloe Shreve
Divyanshu Malhotra
Publication date
03-12-2024
Publisher
Springer International Publishing
Published in
Journal of Nephrology / Issue 2/2025
Print ISSN: 1121-8428
Electronic ISSN: 1724-6059
DOI
https://doi.org/10.1007/s40620-024-02138-9
This content is only visible if you are logged in and have the appropriate permissions.

Keynote webinar | Spotlight on progress in colorectal cancer

  • Live
  • Webinar | 11-12-2025 | 18:00 (CET)

CRC remains a major global health burden, but advances in screening, treatment, and lifestyle-based prevention continue to reshape clinical practice. Gain insights into how the latest research can be leveraged to optimize patient care across the CRC continuum.

Watch it live: Thursday 11 December 2025, 18:00-19:30 (CET)

Prof. Antoni Castells
Prof. Edward Giovannucci
Prof. Harpreet Wasan
Join the webinar
Webinar

Keynote webinar | Spotlight on functional neurological disorder

FND perplexes and frustrates patients and physicians alike. Limited knowledge and insufficient awareness delays diagnosis and treatment, and many patients feel misunderstood and stigmatized. How can you recognize FND and what are the treatment options?

Prof. Mark Edwards
Watch now
Video
Image Credits
Colon cancer illustration/© (M) KATERYNA KON / SCIENCE PHOTO LIBRARY / Getty Images, Human brain illustration/© (M) CHRISTOPH BURGSTEDT / SCIENCE PHOTO LIBRARY / Getty Images